Türk Kardiyoloji Derneği Koruyucu Kardiyoloji ve Ateroskleroz Çalışma Grubu Elektronik Bülteni Yıl: 2 Sayı: 1 / 2026


Türk Kardiyoloji Derneği
Koruyucu Kardiyoloji ve Ateroskleroz Çalışma Grubu
Alt Kurulu

Başkan:
Dr. Erdal Belen

Y.K. adına Koordinatör
Dr. Öner Özdoğan

Üyeler
Dr. Ajar Koçak
Dr. Bilal Çuğlan
Dr. Çağrı Yayla
Dr. Zafer Yalım
Dr. Zehra Erkal

Katkıda Bulunanlar
Dr. Hatice Taşkan
Dr. Nermin Bayar


 



1--41--4

Türk Kardiyoloji Derne?i Genç Kardiyologlar Bülteni - Elektronik Sigara Kullanımı: Kardiyovasküler Risk Spektrumunda Yeni Bir Bileşen (Dr. Ajar Koçak)

Elektronik Sigara Kullanımı: Kardiyovasküler Risk Spektrumunda Yeni Bir Bileşen

Dr. Ajar Koçak

 Elektronik sigaralar (e-sigara), son yıllarda özellikle genç erişkin popülasyonda hızla yaygınlaşmış ve çoğu zaman “daha güvenli alternatif” olarak konumlandırılmıştır. Ancak mevcut deneysel ve epidemiyolojik veriler, e-sigara kullanımının yalnızca pulmoner sistemle sınırlı kalmayıp, kardiyovasküler sistem üzerinde anlamlı ve çok yönlü olumsuz etkiler oluşturduğunu göstermektedir.

Güncel kılavuzlar henüz e-sigarayı bağımsız bir risk faktörü olarak açık şekilde sınıflandırmamış olsada, artan kanıtlar doğrultusunda e-sigara kullanımı, modifiye edilebilir kardiyovasküler risk belirleyicileri arasında değerlendirilmeye başlanmıştır.

Patofizyolojik Mekanizmalar

 E-sigara aerosolü; nikotin, gliserol, propilen glikol, uçucu organik bileşikler, ağır metaller ve ultrafine partiküller içermektedir. Bu bileşenlerin kardiyovasküler sistem üzerindeki etkileri hem deneysel hem de gözlemsel çalışmalarla ortaya konmuş olup, bazı bulgular kısa vadede oluşan vasküler hasarın konvansiyonel sigaraya yakın düzeyde olabileceğini göstermektedir (1). Bu etkiler aşağıdaki ana mekanizmalar üzerinden açıklanmaktadır:

  • Endotelyal disfonksiyon:

E-sigara maruziyeti, nitrik oksit (NO) biyoyararlanımını azaltarak endotel bağımlı vazodilatasyonu bozar. İnsan çalışmalarında flow-mediated dilatasyon (FMD) değerlerinde anlamlı azalma gösterilmiştir(2).

  • Oksidatif stres ve inflamasyon:

Artmış reaktif oksijen türleri (ROS) üretimi, NF-κBB aracılı inflamatuar yolakları aktive eder. Bu süreç aterosklerotik plak oluşumu ve progresyonuna katkı sağlar (3).

  • Sempatik aktivasyon ve hemodinamik etkiler:

Nikotin aracılığıyla katekolamin salınımı artar; kalp hızı ve sistolik kan basıncı yükselir. Bu durum miyokardiyal oksijen tüketimini artırır (3).

  • Trombosit aktivasyonu ve protrombotik durum:

E-sigara kullanımının trombosit agregasyonunu artırdığı ve fibrinolitik dengeyi bozduğu gösterilmiştir (2).

  • Lipid Metabolizması Üzerine Etkileri

Lipid metabolizması üzerinde olumsuz etkiler oluşturarak aterojenik bir profil gelişimine katkıda bulunur. LDL kolesterol ve trigliserid düzeylerini artırırken, HDL kolesterolü azaltabilir. Bu değişiklikler, uzun vadede ateroskleroz gelişimini hızlandırarak kardiyovasküler riskin artmasına zemin hazırlar (4).
Bu mekanizmalar birlikte değerlendirildiğinde, e-sigaranın aterosklerotik kardiyovasküler hastalık (ASKH) gelişiminde rol oynayan patofizyolojik süreçleri tetiklediği açıktır (5).

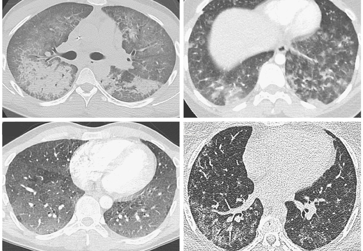
Pulmoner Boyut: EVALI ve Kardiyovasküler Etkileşim

                EVALI (E-cigarette or Vaping Associated Lung Injury), e-sigara kullanımına bağlı gelişen akut akciğer hasarıdır ve özellikle 2019 yılında tanımlanan olgularla dikkat çekmiştir (6). Kardiyovasküler açıdan değerlendirildiğinde, EVALI’ye eşlik eden sistemik inflamatuvar yanıt ve hipoksemi; özellikle altta yatan kardiyak hastalığı bulunan bireylerde akut koroner sendrom ve aritmi riskinde artışa yol açabilecek önemli patofizyolojik mekanizmalar olarak öne çıkmaktadır (7).

Elektronik Sigaranın Kardiyovasküler Etkilerinde Kanıtların Sınırları

 Güncel literatür incelendiğinde, elektronik sigaraların kardiyovasküler etkilerine ilişkin mevcut literatür çelişkili bulgular içermektedir. Bazı çalışmalar endotel fonksiyonu, arteriyel sertlik ve hemodinamik parametreler üzerinde olumsuz etkiler gösterirken, diğerleri bu etkilerin sınırlı veya anlamlı olmadığını bildirmektedir. Bu farklılıklar; çalışmaların çoğunlukla non-randomize olması, örneklem büyüklüklerinin düşük kalması ve akut ile kronik etkilerin birlikte değerlendirilmesi gibi metodolojik sınırlamalarla açıklanabilir. Ayrıca kullanıcı gruplarının heterojenliği ve çift kullanımın yeterince ayrıştırılamaması da sonuçlar arasındaki tutarsızlığı artırmaktadır (8).

Sonuç

                Mevcut bilimsel veriler, elektronik sigaraların kardiyovasküler sistem üzerinde zararsız olmadığını, aksine aterosklerotik süreçleri tetikleyen ve hızlandıran etkiler gösterdiğini ortaya koymaktadır. Ancak mevcut kanıtların çoğu kesitsel çalışmalara dayandığından nedensellik net değildir ve bu ilişkinin aydınlatılması için prospektif çalışmalara ihtiyaç vardır.

Kaynaklar

  1. Tansawet, A., er al. Electronic cigarettes and cardiovascular diseases: An updated systematic review and network meta-analysis. Tobacco induced diseases, 23, 10-18332.
  2. Carnevale R, et al. Acute Impact of Tobacco vs Electronic Cigarette Smoking on Oxidative Stress and Vascular Function. Chest. 2016 Sep;150(3):606-12.
  3. Moheimani RS, et al. Increased Cardiac Sympathetic Activity and Oxidative Stress in Habitual Electronic Cigarette Users: Implications for Cardiovascular Risk. JAMA Cardiol. 2017 Mar 1;2(3):278-284.
  4. Alzahrani T, et al. Association Between Electronic Cigarette Use and Myocardial Infarction. Am J Prev Med. 2018 Oct;55(4):455-461.
  5. Majid S, et al. Lipid profiles in users of combustible and electronic cigarettes. Vasc Med. 2021 Oct;26(5):483-488.
  6. L ayden JE, et al. Pulmonary Illness Related to E-Cigarette Use in Illinois and Wisconsin - Final Report. N Engl J Med. 2020 Mar 5;382(10):903-916.
  7. Rose JJ, et al. Cardiopulmonary Impact of Electronic Cigarettes and Vaping Products: A Scientific Statement From the American Heart Association. Circulation. 2023 Aug 22;148(8):703-728.
  8. Skotsimara G, et al. Cardiovascular effects of electronic cigarettes: A systematic review and meta-analysis. Eur J Prev Cardiol. 2019 Jul;26(11):1219-1228. 

 


1--4

 2026 © Bu sitenin tüm hakları Türk Kardiyoloji Derneğine aittir.